
Είναι γνωστό πως η κατανάλωση ενός ποτηριού νερού με λεμόνι κάθε πρωί είναι ότι καλύτερο για τον οργανισμό.
Αυτό που ίσως όμως δεν γνωρίζετε,
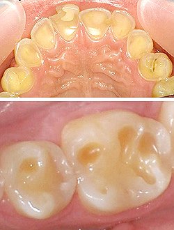
είναι ότι έχει αρνητικές επιδράσεις στα δόντια.
Όλα τα εσπεριδοειδή (πορτοκάλι, λεμόνι, γκέιπ-φρουτ) και κυρίως το λεμόνι περιέχουν κιτρικό οξύ που προκαλεί διάβρωση στα δόντια όταν υπερκαταναλώνεται. Έτσι τα δόντια γίνονται πιο λεπτά, αποκτούν διαφανείς άκρες και κιτρινίζουν, καθώς καταστρέφεται η αδαμαντίνη (σμάλτο ) και εμφανίζεται η οδοντίνη που έχει πιο κίτρινη απόχρωση.
Η λύση δεν είναι να σταματήσουμε αυτή την ωφέλιμη συνήθεια, αλλά να ακολουθήσουμε κάποιες απλές συμβουλές που μας προστατεύουν.
- Καταναλώνουμε το λεμόνι με ζεστό νερό καθώς μειώνει την ποσότητα του οξέως
- Πίνουμε το ρόφημα με καλαμάκι για να μειώσουμε την επαφή του οξέως με τα δόντια
- Δεν βουρτσίζουμε αμέσως μετά τα δόντια καθώς μετά τη δράση του οξέως, η μηχανική αποτριβή από το βούρτσισμα θα προκαλέσει μεγαλύτερη καταστροφή. Απλά ξεπλένουμε με άφθονο νερό.