
Είναι μια φλεγμονή στην οποία συγκεντρώνεται πύο στην περιοχή της ρίζας ενός δοντιού ή στα ούλα. Τα οδοντικά αποστήματα μπορεί να προκληθούν είτε από χαλασμένα (τερηδονισμένα) δόντια ή από περιοδοντίτιδα.
Τύποι οδοντικών αποστημάτων
Υπάρχουν 3 τύποι οδοντικών αποστημάτων :
- Ακρορριζικό απόστημα δοντιού: Σχηματίζεται γύρω από τη ρίζα του δοντιού και είναι η πιο συχνή μορφή οδοντικού αποστήματος. Δημιουργείται όταν μολύνεται ο πολφός του δοντιού λόγω τερηδόνας
-
Περιοδοντικό απόστημα: Αναπτύσσεται στα ούλα και η κύρια αιτία είναι η περιοδοντίτιδα
- Περιστεφανίτιδα: Φλεγμονή που αναπτύσσεται γύρω από τη μύλη ενός ημιέγκλειστου δοντιού, όπου συσσωρεύονται τροφές και μικρόβια και είναι δύσκολο να απομακρυνθούν
Αιτίες που προκαλούν οδοντικά αποστήματα
-
Τερηδόνα. Όταν το χάλασμα ενός δοντιού φτάσει σε σημείο που να μολύνει τον οδοντικό πολφό,

τότε τα βακτήρια προκαλούν φλεγμονή και τελικά το θάνατο των ιστών του πολφού. Εάν δεν γίνει
έγκαιρα ενδοδοντική θεραπεία (απονεύρωση) η μόλυνση θα επεκταθεί μέσω των ριζικών σωλήνων
προς τη ρίζα/ρίζες του και στο οστό, δημιουργώντας σταδιακά το ακρορριζικό απόστημα. Εκτός από
την τερηδόνα άλλες αιτίες είναι το ράγισμα του δοντιού και ένα ελαττωματικό σφράγισμα ή στεφάνη
που δημιουργούν μια πύλη εισόδου των μικροβίων στο δόντι.
2. Περιοδοντίτιδα. Η περιοδοντίτιδα είναι μια σοβαρή πάθηση των ούλων που οδηγεί σε υφίζηση καιαποκόλληση τους από τα δόντια δημιουργώντας έτσι βαθείς θυλάκους μεταξύ δοντιών και ούλων. Η ύπαρξη αυτών των περιοδοντικών θυλάκων επιτρέπει στα βακτήρια να εισέλθουν βαθιά ανάμεσαστα δόντια και τα γύρω ούλα και το οστό μολύνοντας τα. Αν η μόλυνση δεν αντιμετωπιστεί με βαθύ καθαρισμό των δοντιών, γρήγορα θα δημιουργηθεί ένα περιοδοντικό απόστημα.
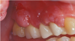
Συμπτώματα οδοντικού αποστήματος
-
Έντονος, επίμονος, και συνεχής πονόδοντος
-
Οίδημα
-
Πόνος κατά τη μάσηση
-
Ευαισθησία των δοντιών στο ζεστό, το κρύο ή την πίεση
-
Ορατό εξόγκωμα στα ούλα κοντά σε ένα δόντι
-
Εκροή πύου στο στόμα
-
Άσχημη γεύση στο στόμα και δυσάρεστη αναπνοή
-
Ερυθρότητα και πρήξιμο των ούλων, στο σαγόνι ή το πρόσωπο
-
Δυσκολία πλήρους ανοίγματος του στόματος ή κατά την κατάποση
-
Διόγκωση των λεμφαδένων στο λαιμό
Όσο συγκεντρώνεται περισσότερο πύο, η πίεση αυξάνεται και το απόστημα γίνεται όλο και πιο επώδυνο. Μερικές φορές το πύον μπορεί να βρει δίοδο παροχέτευσης στο στόμα είτε μέσω των περιοδοντικών θυλάκων και της ουλοδοντικής σχισμής είτε μέσω της δημιουργίας συριγγίου.
Κάθε φορά που το πύον καταφέρνει να πάροχετευθεί στο στόμα, ο πόνος μπορεί να μειώνεται σημαντικά, η μόλυνση όμως παραμένει και συνεχίζει την καταστροφή των ιστών. Είναι πολύ σημαντική λοιπόν η θεραπεία και η εξάλειψη του αιτιολογικού παράγοντα, αλλιώς οι συνέπειες για τη γενική υγεία είναι πολύ βλαβερές.
Πώς θεραπεύονται τα οδοντικά αποστήματα
Στόχος είναι κατ’ αρχήν η ανακούφιση του ασθενή από τον πόνο, η εξάλειψη της μόλυνσης, και η αποκατάσταση του δοντιού (αν είναι δυνατόν).
1. Αντιβιοτικά
Λήψη αντιβιοτικών λίγες μέρες πριν την έναρξη των οδοντιατρικών εργασιών, ειδικά αν υπάρχει εκτεταμένο οίδημα. Η χρήση τους θα συνεχιστεί και κάποιες μέρες μετά την οποιαδήποτε θεραπεία, μέχρι να εξαλειφθεί ο κίνδυνος της μόλυνσης.
2. Σχάση και παροχέτευση
Διάνοιξη του αποστήματος και παροχέτευση του πύου, απελευθερώνει την πίεση από τους ιστούς γύρω από το απόστημα και ανακουφίζει αρκετά από τον οξύ πόνο. Αυτό μπορεί να γίνει είτε μέσω ενός ανοίγματος διαμέσου της κορυφής του δοντιού σε περίπτωση ακρορριζικό αποστήματος ή μέσω μιας τομής στα ούλα σε περίπτωση που υπάρχει περιοδοντικό απόστημα.
ΣΥΜΒΟΥΛΕΣ μέχρι να επισκεφτείτε τον οδοντίατρο
-
Βάλτε ένα κρύο επίθεμα έξω από το μάγουλο. Θα ανακουφίσει τον πόνο και θα μειώσει τη φλεγμονή του προσώπου.
-
Πάρτε ένα παυσίπονο
Επιπλοκές που μπορεί να προκληθούν από ένα απόστημα δοντιού
Ένα οδοντικό απόστημα μπορεί να προκαλέσει σοβαρές επιπλοκές στην υγεία, και σε ορισμένες περιπτώσεις μπορεί να γίνει απειλητικό για τη ζωή. Οι πιο συχνές επιπλοκές είναι:
-
Απώλεια δοντιών
-
Εξάπλωση της μόλυνσης στους μαλακούς ιστούς του προσώπου
-
Εξάπλωση της μόλυνσης στο οστό της κάτω ή άνω γνάθου (οστεομυελίτιδα)
-
Εξάπλωση της μόλυνσης από τις ρίζες των άνω γομφίων στις κοιλότητες των ιγμορείων (ιγμορίτιδα)
-
Εξάπλωση της μόλυνσης σε άλλες περιοχές του σώματος προκαλώντας ενδοκαρδίτιδα, πνευμονία, ή άλλες διαταραχές
-
Οδοντικά αποστήματα που έχουν επεκταθεί στη βάση του στόματος ή του λαιμού μπορεί να γίνουν απειλητικά για τη ζωή εμποδίζοντας τον αεραγωγό και προκαλώντας δυσκολία στην αναπνοή