
Η Οδοντική Πλάκα είναι ένα σχεδόν αόρατο στρώμα μικροβίων που αναπτύσσεται πάνω στα δόντια και τα ούλα και ιδιαίτερα στα σημεία ανάμεσα στα δόντια, αλλά και κατά μήκος της γραμμής των ούλων. Είναι μια μαλακή, σχεδόν άχρωμη ή υποκίτρινη μάζα μικροβίων που αποτελούν την φυσιολογική χλωρίδα του στόματος, που όμως αν αφεθούν χωρίς απομάκρυνση (βούρτσισμα- οδοντικό νήμα), προκαλούν διάφορες νόσους και φλεγμονές όπως τερηδόνα, ουλίτιδα και περιοδοντίτιδα.
Η μικροβιακή πλάκα κατατάσσεται σε δύο μορφές:
- Υπερ-ουλική πλάκα: Αναπτύσσεται πάνω στα ούλα και στο εμφανές τμήμα του δοντιού (μύλη).
- Υπο-ουλική πλάκα: Αναπτύσσεται κάτω από τα ούλα (ανάμεσα στα ούλα και τη ρίζα του δοντιού).
Αμέσως μετά το βούρτσισμα, η μικροβιακή πλάκα θα αρχίσει να σχηματίζεται ξανά . Αρχικά, η επιφάνεια των δοντιών καλύπτεται από ένα πολύ λεπτό στρώμα πρωτεϊνών πάνω στο οποίο αρχίζουν να προσκολλώνται σιγά σιγά διάφορα βακτήρια και να δημιουργούν έτσι τη μικροβιακή πλάκα
Μετά από 1 έως 3 ημέρες χωρίς βούρτσισμα των δοντιών:
Οι αρχικές μικροβιακές αποικίες πολλαπλασιάζονται και επεκτείνονται καθώς νέα είδη βακτηρίων αρχίζουν να αποικούν την οδοντική πλάκα και κυρίως Gram αρνητικά.
Μια βδομάδα μετά:
Η πλάκα συνεχίζει να αναπτύσσεται και κυριαρχούν τα Gram αρνητικά και τα αναερόβια βακτήρια, που είναι και η κυριότερη αιτία πρόκλησης ουλίτιδας και περιοδοντίτιδας.
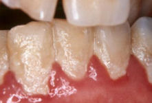
Νεκρά μικρόβια και συστατικά από το σάλιο, αναμειγνύονται με τη μικροβιακή πλάκα και 
σχηματίζουν την τρυγία ή κοινώς γνωστή ως ‘’πέτρα’’. Η επιφάνεια της τρυγίας είναι αδρή,
ευνοώντας την προσκόλληση μικροβίων και καθιστώντας δύσκολη έως και αδύνατη την
απομάκρυνση τους. Έτσι στα σημεία με τρυγία είναι πολύ δύσκολη η στοματική υγιεινή,
γι’ αυτό και συνίσταται ο καθιερωμένος έλεγχος από τον οδοντίατρο και ο καθαρισμός.
Τι προκαλεί η μικροβιακή πλάκα
- Απασβεστίωση της αδαμαντίνης που καταλήγει σε τερηδόνα
- Ουλίτιδα (κόκκινα, πρησμένα, ούλα που ματώνουν)
- Περιοδοντίτιδα και απώλεια δοντιών
- Τρυγία (πέτρα)
- Άσχημη αναπνοή

Πως απομακρύνουμε την οδοντική πλάκα
- Βούρτσισμα δοντιών, τουλάχιστον 2 φορές την ημέρα με μαλακή οδοντόβουρτσα (μεγαλύτερης βαρύτητας είναι το βραδινό βούρτσισμα)
- Χρήση οδοντικού νήματος, τουλάχιστον μία φορά τη ημέρα, για να απομακρύνουμε την πλάκα από τα μεσοδόντια διαστήματα όπου δεν φτάνει η οδοντόβουρτσα
- Έλεγχο της διατροφής, με μείωση της κατανάλωσης ζάχαρης που βοηθά την ανάπτυξη των μικροβίων. Επίσης είναι καλό να αποφεύγονται κολλώδεις τροφές που είναι δύσκολο να καθαριστούν από τα δόντια.
- Τακτικές προληπτικές επισκέψεις στον οδοντίατρο μας για έλεγχο και καθαρισμό των δοντιών.