
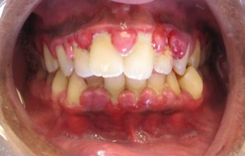
Η ουλίτιδα είναι μια φλεγμονή των ούλων που οφείλεται στη συσσώρευση μικροβίων πουαποτελούν τη φυσιολογική χλωρίδα του στόματος. Η κατάσταση είναι αναστρέψιμη, αρκεί να καταλάβουμε ότι αντιμετωπίζουμε πρόβλημα ουλίτιδας και λάβουμε άμεσα μέτρα γιατην αντιμετώπιση της.
Τα πλέον κοινά συμπτώματα ουλίτιδας περιλαμβάνουν:
- Ούλα που αιμορραγούν
Ούλα που ματώνουν κατά το βούρτσισμα των δοντιών, ή κατά τη χρήση οδοντικού νήματος. Η αιμορραγία των ούλων κατά τη εφαρμογή της στοματικής υγιεινής ή και αυτόματα, αποτελεί μια από τις πιο σαφές ενδείξεις ουλίτιδας. Δυστυχώς πολλοί ασθενείς συνεχίζουν να αγνοούν τα συμπτώματα της ουλίτιδας, ενώ αρκετοί όταν αντιληφθούν το μάτωμα των ούλων αρχίζουν να αποφεύγουν το βούρτσισμα επιδεινώνοντας την κατάσταση, αντί να βουρτσίζουν ακόμη περισσότερο και να επισκεφθούν άμεσα τον οδοντίατρο τους όπως χρειάζεται.
-
Κόκκινα, στιλπνά ούλα
Τα υγιή ούλα έχουν ένα φυσιολογικό σχεδόν ροζ χρώμα και ματ επιφάνεια. Αν αποκτήσουν έντονο κόκκινο χρώμα ή γίνουν στιλπνά, αυτό προδίδει πρόβλημα ερεθισμού και είναι το πρώτο σύμπτωμα ουλίτιδας
-
Άσχημη αναπνοή ή/και μεταλλική γεύση στο στόμα
Απώλεια της σύνδεσης δοντιού και ούλων (δημιουργία θυλάκων) – Τα υγιή ούλα είναι στενά προσκολλημένα γύρω από τα δόντια. Αν τα ούλα δείχνουν να έχουν χαλαρώσει και αποκολληθεί από τα δόντια, αυτό είναι σύμπτωμα ουλίτιδας και σημαίνει ότι έχουν αρχίσει να επηρεάζονται οι περιοδοντικοί σύνδεσμοι που κρατούν το δόντι σταθερό στη θέση του.
-
Ευαίσθητα δόντια
Τα δόντια γίνονται πιο ευαίσθητα και πονάνε στο ζεστό και κρύο λόγω της αποκάλυψης της ρίζας του δοντιού εξαιτίας της υφίζησης των ούλων.
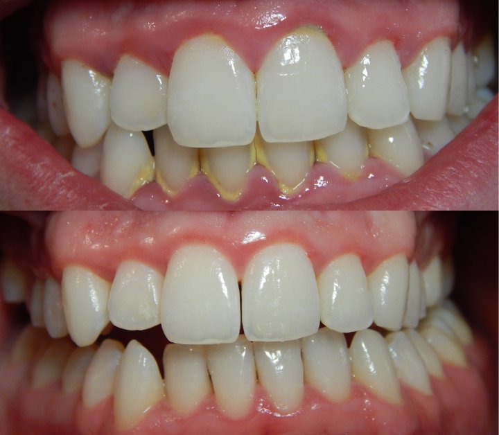
ΘΕΡΑΠΕΙΑ: Καθαρισμός από τον οδοντίατρο και εφαρμογή σωστής και επιμελούς στοματικής υγιεινής με χρήση οδοντόβουρτσας και οδοντικού νήματος. Από τις πρώτες κιόλας μέρες τα ούλα θα επανέλθουν στη φυσιολογική τους κατάσταση