
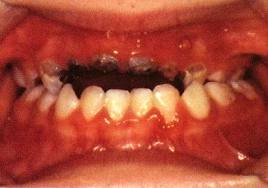
Είναι μια κατάσταση που απαντάται σε βρέφη ή νήπια από υπερβολική κατανάλωση ζάχαρης και προκαλεί τερηδονισμό (σάπισμα) των νεογιλών δοντιών. Πήρε το όνομά της από τις γλυκαντικές ουσίες (ζάχαρη, μέλι κ.λπ.) που περιέχονται στο γάλα ή στην πιπίλα που δίνουμε στα μωρά ειδικά κατά τη διάρκεια της νύχτας.
Στο στόμα των μωρών, όπως συμβαίνει και στους ενήλικες, περιέχονται μικρόβια. Τα μικρόβια αυτά
«χρησιμοποιούν» τα σάκχαρα που περιέχονται στις τροφές και στα υγρά για να παράγουν οξέα.
Τα οξέα προκαλούν τον τερηδονισμό των δοντιών.
Πολλοί γονείς συνηθίζουν να βάζουν ζάχαρη ή μέλι στο γάλα που προσφέρουν στα παιδιά
τους για να τα «δελεάσουν» ώστε να το καταναλώσουν με ευκολία. Αυτή όμως η συνήθεια μπορεί να
καταστρέψει τα νεογιλά δόντια. Αν μάλιστα η κατανάλωση γίνεται καθημερινά και για μεγάλο χρονικό
διάστημα, η καταστροφή είναι μεγαλύτερη. Η κατάσταση που περιγράψαμε μπορεί να προκαλέσει
πόνο και ανησυχία στο παιδί. Επίσης, μπορεί να προκαλέσει σοβαρά προβλήματα
(ορθοδοντικά και άλλα) στα μόνιμα δόντια που θα τα διαδεχθούν.
ΣΥΜΒΟΥΛΕΣ
-
Μετά τους έξι μήνες όπου αρχίζουν να ανατέλλουν τα νεογιλά δόντια, αποφεύγουμε να δίνουμε το γάλα του μωρού κατά τη διάρκεια του ύπνου. Η καλύτερη ώρα είναι πριν τον ύπνο, όταν το μωρό είναι ακόμα ξύπνιο.
-
Φροντίζουμε τη στοματική υγιεινή του παιδιού από βρεφική ηλικία. Μετά από κάθε γεύμα περνάμε τις επιφάνειες των δοντιών με μια γάζα για να τις καθαρίσουμε μέχρι την ηλικία όπου θα είναι δυνατή η χρήση της οδοντόβουρτσας.