
Ένα δόντι περιβάλλεται από την αδαμαντίνη στο πάνω μέρος του-που αποτελεί και την πιο σκληρή
ουσία
του οργανισμού-και από την οστεΐνη στη ρίζα. Κάτω από αυτούς τους ιστούς υπάρχει ένα άλλο σκληρό στρώμα ιστού, αλλά μαλακότερο από την αδαμαντίνη, η οδοντίνη. Στο κέντρο του δοντιού υπάρχει ένας θάλαμος που περιέχει αγγεία, νεύρα και λεμφαγγεία που τρέφουν το δόντι και ονομάζεται πολφός. Οι ριζικοί σωλήνες είναι πολύ μικρά και λεπτά χωρίσματα, τα οποία ξεκινούν να διακλαδώνονται από το πάνω μέρος του πολφού μέχρι την άκρη της ρίζας.
Ένα δόντι έχει τουλάχιστον ένα, και συνήθως, όχι περισσότερους από τέσσερις ριζικούς σωλήνες.
Η ενδοδοντική θεραπεία, γνωστή ως απονεύρωση, αφορά το εσωτερικό του δοντιού και συνίσταται στην αφαίρεση των μαλακών ιστών από τον πολφό (στο κέντρο του δοντιού) και από τους ριζικούς σωλήνες (στις ρίζες), καθαρισμό και απολύμανση και την αντικατάστασή τους με ένα κατάλληλο εμφρακτικό υλικό.
ΑΙΤΙΑ
Ο κυριότερος λόγος που ένας ασθενής χρειάζεται απονεύρωση είναι η τερηδόνα που έχει πλησιάσει ή έχει φτάσει στο ‘’νεύρο’’ του δοντιού (πολφό), καθώς και η περίπτωση που ο πολφός έχει νεκρωθεί και οι ριζικοί σωλήνες του δοντιού, έχουν γεμίσει μικρόβια. Άλλες αιτίες για ενδοδοντική θεραπεία είναι:
- Τα βαθιά κατάγματα που προκαλούν άμεση έκθεση του πολφού ή δημιουργούν μια ρωγμή μέσω της οποίας μπορούν να εισχωρήσουν μικρόβια και να φθάσουν στην πολφική κοιλότητα.
- Η περιοδοντίτιδα .Τα μικρόβια μέσω των περιοδοντικών θυλάκων μπορεί να μολύνουν το χώρο γύρω από τη ρίζα του δοντιού. Από ετα μπορεί να περάσουν μέσα από το άνοιγμα στο άκρο της ρίζας από όπου βγαίνουν τα αγγεία-νεύρα και να εισχωρήσουν μέσα στον πολφό.
- Η σκόπιμη ενδοδοντική θεραπεία. Σε δόντια υγιή χωρίς μόλυνση ή φλεγμονή, που όμως μετά από κάταγμα ή τερηδόνα δεν έχουν επαρκές ύψος ή διαστάσεις για να υποστηρίξουν μια προσθετική αποκατάσταση, γίνεται ‘’απονεύρωση’’ και τοποθετείται μέσα στον ριζικό σωλήνα ένας άξονας που γύρω του χτίζεται ένα ψεύτικο δόντι ικανό να δεχθεί μια στεφάνη ή μια γέφυρα.
Καθώς εισέρχονται μικρόβια στον πολφό, δημιουργείται φλεγμονή που αν δεν αντιμετωπιστεί, προκαλεί σταδιακά αύξηση της πίεσης στο εσωτερικό του δοντιού και μείωση ή και παύση της αιμάτωσης του πολφού. Η έλλειψη αιμάτωσης οδηγεί στη νέκρωση των ιστών του πολφού και εξάπλωση της μόλυνσης η οποία προχωρά μέσα στους ριζικούς σωλήνες και μέσω του ακρορριζίου αρχίζει να επεκτείνεται στους ιστούς εξωτερικά γύρω από τη ρίζα του δοντιού.
Μετά τη νέκρωση του πολφού και του νεύρου του δοντιού ο πόνος σταματάει δημιουργώντας την ψευδαίσθηση ότι το πρόβλημα ξεπεράστηκε. Η αποσύνθεση όμως των νεκρών ιστών προχωράει παράγοντας πύον το οποίο συσσωρεύεται και δημιουργεί ακρορριζικό απόστημα. Το απόστημα πιέζει το οστό της γνάθου που το περιβάλλει προκαλώντας οξύ πόνο . Η μόλυνση καταστρέφει το οστό γύρω από το απόστημα καθιστώντας δύσκολο να κρατηθεί το δόντι στη θέση, αλλά υπάρχει κίνδυνος να εξαπλωθεί και σε άλλα όργανα του σώματος δημιουργώντας σοβαρές επιπλοκές της υγείας.
Σε αυτή τη φάση η άμεση ενδοδοντική θεραπεία είναι ο μόνος τρόπος για να εξαλειφθεί η μόλυνση, να σταματήσει η καταστροφή του οστού, και να σωθεί το δόντι.

ΕΝΔΕΙΞΕΙΣ
- Υπερευαισθησία του δοντιού καθώς η βλάβη πλησιάζει στον πολφό.
- Έντονος πόνος στο ζεστό ή κρύο ή στην πίεση, που δεν σταματά με το πέρας του ερεθίσματος αλλά διαρκεί για λίγα λεπτά.
- Πιο έντονος και συνεχόμενος πόνος, συχνά κατά τη διάρκεια της νύχτας
Τα επόμενα συμπτώματα συνήθως είναι αυτά της δημιουργίας αποστήματος όπως: 
- Επανεμφάνιση πόνου.
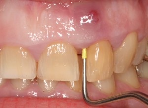
- Οίδημα και ευαισθησία των ούλων κοντά στο προβληματικό δόντι
- Δημιουργία συριγγίου στα ούλα
- Εκροή πύου
- Αποχρωματισμός του δοντιού (ο νεκρός ιστός του πολφού σκουραίνει το χρώμα του δοντιού)
- Οίδημα του προσώπου
