
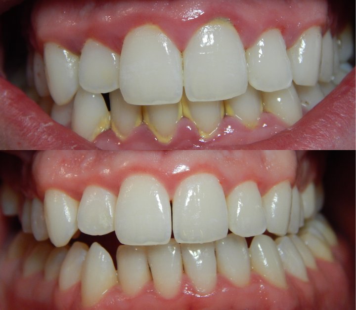
Ο καθαρισμός των δοντιών (ή αλλιώς αποτρύγωση), είναι μια διαδικασία όπου ο οδοντίατρος απομακρύνει την οδοντική πλάκα και τρυγία (κοινώς πέτρα) για να αποκατασταθεί η υγεία των ούλων. Σε πιο προχωρημένα στάδια, όπως σε μια περιοδοντίτιδα, απαιτείται βαθύτερος καθαρισμός που ονομάζεται ριζική απόξεση, γιατί σε πολλές περιπτώσεις η καλή στοματική υγιεινή δεν είναι αρκετή για να αποτραπεί ο σχηματισμός πέτρας κάτω από τα ούλα (υποουλική τρυγία).
Η τρυγία ή πέτρα σχηματίζεται από νεκρά μικρόβια - που αποτελούν τη φυσιολογική χλωρίδα του στόματος- 
και συστατικά του σάλιου. Πάνω σ’ αυτήν προσκολλώνται πολύ εύκολα τα μικρόβια και είναι πολύ δύσκολο
να αφαιρεθούν. Οπότε η συνήθης στοματική υγιεινή δεν αρκεί. Εκεί συσσωρεύονται επιπλέον μικρόβια και
προκαλούν ερεθισμό καταλήγοντας σε ουλίτιδα. Όταν η ουλίτιδα προχωρήσει, τα ούλα υποχωρούν
(υφίζηση των ούλων) και το κενό ανάμεσα στα ούλα και τα δόντια βαθαίνει, σχηματίζοντας μικρού βάθους
περιοδοντικούς θυλάκους όπου συγκεντρώνεται ακόμη περισσότερη πλάκα και πέτρα. Μέχρι το σημείο αυτό
η κατάσταση είναι αναστρέψιμη και μπορεί να θεραπευθεί με ένα καθαρισμό των δοντιών και αποτρύγωση
από τον οδοντίατρο και συχνό βούρτσισμα.
Αν όμως δεν αντιμετωπιστεί, σταδιακά οι περιοδοντικοί θύλακοι βαθαίνουν. Όταν το βάθος τους είναι μεγαλύτερο από 3 χιλ. απαιτείται να γίνει ριζική απόξεση για την αντιμετώπιση της αρχόμενης περιοδοντίτιδας. Περαιτέρω βάθυνση των θυλάκων είναι σημάδι εγκατεστημένης περιοδοντίτιδας. Η μόλυνση προσβάλλει τους περιοδοντικούς ιστούς και σημειώνεται απώλεια οστού γύρω από τα δόντια. Χωρίς άμεση περιοδοντική θεραπεία τα δόντια θα αρχίσουν να κουνιούνται και τελικά θα πέσουν. Ο σωστός και βαθύς καθαρισμός από τον οδοντίατρο μπορεί να αναχαιτίσει την εξέλιξη, όμως δεν μπορεί να επαναφέρει τα ούλα και το οστό στην πρότερη κατάσταση. Γι’ αυτό απαιτείται χειρουργική επέμβαση.
Ο καθαρισμός γίνεται 1-2 φορές το χρόνο, ποικίλει όμως ανάλογα με τον ασθενή και την κατάσταση των ούλων.
Σε περιπτώσεις που υπάρχει μόνο μια ελαφριά ουλίτιδα, ο καθαρισμός και η αποτρύγωση των δοντιών μπορεί να ολοκληρωθεί σε ένα μόνο ραντεβού, και σπάνια γίνεται αναισθησία. Αν όμως χρειάζεται ριζική απόξεση μπορεί να απαιτηθούν 2 ή και 4 ραντεβού ανάλογα αν η θεραπεία γίνει ανά γνάθο ή τεταρτημόριο.
Τον καθαρισμός ακολουθεί η στίλβωση που λειαίνει τις επιφάνειες από τυχόν μικροανωμαλίες που θα ευνοήσουν την εύκολη προσκόλληση των μικροβίων. Επίσης αφαιρεί τις επιφανειακές χρωστικές που βρίσκονται πάνω στα δόντια. Μία μέθοδος στίλβωσης είναι η σοδοβολή, με τη χρήση μιας συσκευής που πετάει με πίεση μικρά σωματίδια διττανθρακικού νατρίου (σόδα) μαζί με αέρα και νερό, υπό μορφή σπρέι, και έτσι καθαρίζει και γυαλίζει την επιφάνεια του δοντιού.
Πόνος στα δόντια μετά τον καθαρισμό
Είναι φυσιολογικό να υπάρχει ελαφρύς πόνος στα δόντια και τα ούλα μετά από ένα βαθύ καθαρισμό από τον οδοντίατρο, ειδικά αν υπάρχει κάποιο πρόβλημα ευαισθησίας από πριν. Τα οδοντικά σωληνάρια που ήταν καλυμμένα από πέτρα, βρίσκονται και πάλι εκτεθειμένα στο περιβάλλον και ο πόνος της ευαισθησίας επανέρχεται.
Η απομάκρυνση των ερεθιστικών παραγόντων μειώνει τη φλεγμονή των ούλων, τα οποία φαίνεται σαν να υποχωρούν, αποκαλύπτοντας τις πραγματικές διαστάσεις της υφίζησης των ούλων που έχει συντελεστεί λόγω της ουλίτιδας. Παράλληλα με την υποχώρηση των ούλων εκτίθενται τμήματα της ρίζας των δοντιών προκαλώντας προβλήματα ευαισθησίας.
Συνήθως τα συμπτώματα υποχωρούν μέσα σε δυο εβδομάδες. Σε περίπτωση που επιμείνουν, μπορεί ο οδοντίατρος να συστήσει οδοντόκρεμες ή γέλη απευαισθητοποίησης αν αυτό κριθεί απαραίτητο.